Deasy
Nvidia και Amazon εκτός Mobile World Congress
Δύο ακόμη νέες αποχές μέτρησε μέσα στο σαββατοκύριακο η έκθεση Mobile World Congress, με τις ...
Deasy
Η Ericsson αποσύρεται από το Mobile World Congress λόγω κορωνοϊού
Ένα νέο χτύπημα δέχθηκε σήμερα η μεγάλη διεθνής έκθεση Mobile World Congress που πρόκειται να ...
Deasy
Export Revival: η Αθήνα είναι η πρώτη πρωτεύουσα που υποδέχεται την παγκόσμια πρωτοβουλία της eBay
Το παγκόσμιο πρωτοποριακό πρόγραμμα Export Revival, το οποίο έχει σχεδιαστεί για την ενίσχυση των μικρομεσαίων ...
Deasy
Θες να στείλεις δορυφόρο στο διάστημα; Κλείσε θέση online στην SpaceX
Μπορείς να κλείσεις online δωμάτιο σε ξενοδοχείο, να νοικιάσεις αυτοκίνητο ή να αγοράσεις αεροπορικό εισιτήριο. ...
Deasy
Google Maps: η εφαρμογή που “σκότωσε” τον περιπτερά έγινε 15 χρονών
Πώς περνάει ο καιρός, λέμε και ξαναλέμε… Λοιπόν, ήταν 8 Φεβρουαρίου του μακρινού 2005 όταν ...
Deasy
Huawei, Xiaomi, Oppo, Vivo χτίζουν το αντίπαλο δέος στο Play Store της Google
Την κυριαρχία του Play Store της Google έρχεται να δοκιμάσει η συμμαχία που δημιουργούν οι ...
Deasy
H δωρεάν έκδοση του Google Stadia έρχεται μέσα στους επόμενους μήνες
Για τρεις μήνες μετά το πρώτο λανσάρισμα του Stadia τον προηγούμενο Νοέμβριο η Google δεν ...
Deasy
Beat: ετήσια άνοδος 35% σε διαδρομές στην ελληνική αγορά το 2019
Εντυπωσιακή αύξηση της χρήσης της εφαρμογής κλήσης ταξί Beat στην Ελλάδα μαρτυρούν οι αριθμοί που ...
Deasy
Wind Fleet Management App: έλεγχος εταιρικών οχημάτων σε πραγματικό χρόνο
Σε μορφή εφαρμογής (app) προσφέρει πλέον την υπηρεσία “Wind Fleet Management” η Wind, δίνοντας τη ...
Deasy
Η σειρά «Σ ‘αγαπώ – Μ’ αγαπάς» επιστρέφει στο YouTube κανάλι της Cosmote
Συνέχεια στην περυσινή προσπάθεια μεταφοράς της τηλεοπτικής σειράς «Σ’ αγαπώ – Μ’ αγαπάς» στο YouTube ...
Deasy
Τα «έξυπνα» γυαλιά επιστρέφουν
Αν θυμάσαι τον χαμό που είχε γίνει με τα γυαλιά της Google πριν από αρκετά ...
Deasy
H LG αποσύρεται από το Mobile World Congress λόγω κορωνοϊού
Πληγές ανοίγει στη μεγαλύτερη έκθεση στον κόσμο για την κινητή τηλεφωνία η εξάπλωση του κορωνοϊού, ...
Deasy
Disney Plus: στην Ελλάδα το Μάρτιο του 2021
Τα πιο απαισιόδοξα σενάρια για τους Έλληνες φίλους των παραγωγών της Disney επιβεβαιώνουν οι τελευταίες ...
Deasy
Τα δεδομένα ήταν σωστά, τα αποτελέσματα… μαντάρα
Στις ΗΠΑ έχει αρχίσει σιγά σιγά η πρώτη φάση της προεκλογικής περιόδου. Ο Ρεπουμπλικανός πρόεδρος ...
Deasy
Αποκατάσταση των προβλημάτων στο δίκτυο της Vodafone
Update 19:30 Σε νέα επικοινωνία μας με τη Vodafone ενημερωθήκαμε ότι το πρόβλημα που είχε ...
Deasy
31 Αυγούστου σταματάει η κυκλοφορία των Blackberry smartphones
Με ένα tweet από τον επίσημο λογαριασμό της η Blackberry Mobile κάνει γνωστό ότι από ...
Deasy
Huawei Y6S review
Μερικούς μήνες μετά την κυκλοφορία του Huawei Y6, που παρουσιάστηκε την προηγούμενη Άνοιξη, η κινεζική ...
Deasy
O κορωνοϊός «μολύνει» και τις συσκευές μας
Το διαρκώς μεγαλύτερο ενδιαφέρον και τους φόβους του κοινού σε όλο τον κόσμο για τον ...
Deasy
Ο κορωνοϊός χτυπάει τις γραμμές παραγωγής smartphone της Κίνας
Μετά τις αεροπορικές (που έχουν αναστείλει τις πτήσεις τους για την Κίνα), τις ναυτιλιακές (πολλά ...
Deasy
Νέο πρόγραμμα επιβράβευσης των συνεργατών οδηγών ταξί από την Uber
To πρόγραμμα επιβράβευσης Uber Pro, με το οποίο ανταμείβει τη δέσμευση των συνεργατών οδηγών ταξί, ...
Deasy
Το περιεχόμενο της HBO έρχεται αποκλειστικά στη Vodafone TV
Με μία σημαντική επένδυση στον τομέα του τηλεοπτικού περιεχομένου μπαίνει το 2020 για τη Vodafone, ...
Deasy
Επένδυση της Αmazon Web Services στην Ελλάδα
Η λειτουργία της εγκατάστασης Amazon CloudFront Edge στην Αθήνα, που αποτελεί τμήμα του ευρύτερου δικτύου ...
Deasy
Apple: κατεβάζει ρολά σε καταστήματα και γραφεία στην Κίνα λόγω κορωνοϊού
Στην αναστολή της λειτουργίας των γραφείων αλλά και των φυσικών της καταστημάτων στην κεντρική Κίνα ...
Deasy
Η Amazon πάτησε άλλη μία κορυφή
Η χρηματιστηριακή αξία είναι ψηλά, το μαγαζί πάει καλά, άρα και το όνομα του μαγαζιού ...
Deasy
Η παγκόσμια κοινότητα ξαναγράφει τους κανόνες φορολόγησης για την ψηφιακή εποχή
Στην επικαιροποίηση των διασυνοριακών κανόνων φορολόγησης είναι έτοιμη να προχωρήσει η παγκόσμια κοινότητα, αφού η ...
Deasy
Ενιαίο φορτιστή σε όλες τις συσκευές αποφάσισε το Ευρωπαϊκό Κοινοβούλιο
Με ευρεία πλειοψηφία 582-40 το Ευρωπαϊκό Κοινοβούλιο έδωσε το πράσινο φως στην Ευρωπαϊκή Επιτροπή για ...
Deasy
Upstream: διαστάσεις επιδημίας λαμβάνει η online διαφημιστική απάτη
Tις εντυπωσιακές διαστάσεις της online διαφημιστικής απάτης αναδεικνύει η νέα αναλυτική έκθεση της Upstream, “Αόρατη ...
Deasy
Avast: μετράει τις πληγές της μετά τις αποκαλύψεις της πώλησης των προσωπικών δεδομένων των χρηστών
Η κοινή έρευνα που πραγματοποίησαν τα sites Motherboard και PCMag και αποκάλυψε ότι η εταιρεία ...
Deasy
ΕΕ: ευθύνη των κρατών-μελών η προμήθεια εξοπλισμού στο 5G
«Σολομώντεια» ήταν (όπως είχαμε προβλέψει) η χθεσινή απόφαση της Ευρωπαϊκής Επιτροπής για την προμήθεια εξοπλισμού ...
Deasy
Στους 2,5 δισ. οι χρήστες του Facebook
Συνεχίζεται η άνοδος στον αριθμό των χρηστών του Facebook καθώς ολοένα και περισσότεροι άνθρωποι σε ...
Deasy
Apple: στην πρώτη θέση στις αποστολές smartphone στο 4ο τρίμηνο του 2019
Γράφαμε χθες για τα οικονομικά αποτελέσματα της Apple ότι μόνο ο τομέας του iPhone χάρισε ...
Deasy
Προστασία από τη λήψη 5ψήφιων SMS τρίτων εταιρειών μέσα από το My Vodafone App
Τη δυνατότητα να διαχειρίζονται τα 5ψήφια SMS τρίτων εταιρειών μέσα από την εφαρμογή My Vodafone ...
Deasy
Comeback από την Apple στο τελευταίο τρίμηνο του 2019
Με ένα εντυπωσιακό comeback έκλεισε το 2019 για την Apple, τα οικονομικά αποτελέσματα της οποίας ...
Deasy
Honor Magic Watch 2: διαθέσιμο από τις 4 Φεβρουαρίου στα 199 ευρώ
Την επόμενη Τρίτη, 4 Φεβρουαρίου, θα ξεκινήσει στην ελληνική αγορά η διάθεση του νέου smartwatch ...
Deasy
Ανακοινώθηκε επίσημα η απόκτηση της Praxia Bank από τη Viva Wallet
Με μία λιτή ανακοίνωση η Viva Wallet Holdings έκανε γνωστή τη συμφωνία με την Atlas ...
Deasy
Σολομώντειες αποφάσεις σε Βρετανία και Ε.Ε. για την Huawei
Από τη μία πλευρά η Ευρώπη είχε τις πιέσεις και τις έμμεσες (αλλά σαφείς) απειλές ...
Deasy
“Ευλογίες” της Άγκυρας σε hackers που επιτέθηκαν σε Ελλάδα, Κύπρο
Πολλές και ενδιαφέρουσες οι αποκαλύψεις του Reuters σχετικά με τη δραστηριότητα hackers που φαίνεται πως ...
Deasy
Κάμερες αναγνώρισης προσώπου μπαίνουν στο Λονδίνο
Στην εγκατάσταση καμερών με τεχνολογία αναγνώρισης προσώπου σε διάφορα σημεία του Λονδίνου προχωράει η αστυνομία ...
Deasy
Ινδία: πέρασε τις ΗΠΑ και αποτελεί τη δεύτερη μεγαλύτερη αγορά smartphones
Ήταν αναμενόμενο ότι θα συμβεί κάποια στιγμή. Η Ινδία μια αγορά με 1,339 δισ. κατοίκους ...
Deasy
Απολύσεις με πολυλογία στο TripAdvisor
“Είναι σωστό να μειώσουμε και να επαναπροσδιορίσουμε τις δαπάνες σε συγκεκριμένους τομείς της δραστηριότητάς μας ...
Deasy
Η MLS μπαίνει στην αγορά των wearables
Μερίδιο αγοράς στην αγορά των wearables διεκδικεί η MLS, η οποία φέρνει στην ελληνική αγορά ...
Deasy
SpaceX: η πρώτη επανδρωμένη αποστολή στο διάστημα έρχεται την επόμενη Άνοιξη
Την προηγούμενη εβδομάδα η SpaceX εκτόξευσε ένα από τους Falcon 9 πυραύλους της μόνο για ...
Deasy
Στις 3 Φεβρουαρίου ξεκινάει η κυκλοφορία των smartphones της Realme στην Ελλάδα
Από τη Δευτέρα 3 Φεβρουαρίου θα ξεκινήσει η κυκλοφορία των smartphones της Realme στην Ελλάδα, ...
Deasy
Στα χαρακώματα Ευρωπαϊκή Επιτροπή και Apple για τον ενιαίο φορτιστή
Την προηγούμενη εβδομάδα η Ευρωπαϊκή Επιτροπή συζήτησε για μια ακόμα φορά το ζήτημα της υιοθέτησης ...
Deasy
Κινδυνεύουν με αποκλεισμό από τους επίσημους αγώνες τα Nike Vaporfly
Η πιο γλαφυρή περιγραφή για την αίσθηση που σου αφήνουν τα παπούτσια Nike Vaporfly ανήκει ...
Deasy
Lime: δοκιμάζει ηλεκτρικά πατίνια με εναλλάξιμες μπαταρίες στο Παρίσι
Την πιλοτική δοκιμή της χρήσης εναλλάξιμης μπαταρίας στο νεότερο μοντέλο ηλεκτρικού πατινιού της στο Παρίσι ...
Deasy
Τα Realme smartphones φέρνει στην Ελλάδα η Smart4All
Την ανακοίνωση της συνεργασίας για την Ελλάδα με τo brand Realme ανακοίνωσε σήμερα η Smart4All. ...
Deasy
Το ΣτΕ στέλνει τον Mr. Bitcoin στη Γαλλία
Επόμενος σταθμός η Γαλλία για τον Αλεξάντερ Βίνικ σύμφωνα με την απόφαση του Συμβουλίου της ...
Deasy
“Κερδίζει έδαφος το ΒΟΧ” ισχυρίζεται η Cosmote
Ιδιαίτερα θερμή ανταπόκριση γνωρίζει η νέα υπηρεσία online παραγγελίας φαγητού, BOX, όπως τουλάχιστον ισχυρίζεται η ...
Deasy
Αποχώρησε από το Facebook Libra και η Vodafone
Η Ένωση που είχε συσταθεί για το κρυπτονόμισμα του Facebook, Libra, συνεχίζει να χάνει μέλη, ...
Deasy
Στις 6 Φεβρουαρίου ξεκινάει η κυκλοφορία του Motorola RAZR
Τη νέα ημερομηνία διάθεσης του πολυαναμενόμενου Motorola RAZR έδωσε στη δημοσιότητα η εταιρεία. Σύμφωνα λοιπόν ...
Deasy
Μάλλον ξέρουμε ποιος χάκεψε τον Τζεφ Μπέζος
Είναι λίγο πολύ γνωστό πως ο Τζεφ Μπέζος έπεσε θύμα υποκλοπής δεδομένων, καθώς προσωπικές πληροφορίες ...
Deasy
Το φράγμα των 100 δισ. δολαρίων έσπασε η Tesla
Η τρελή χρηματιστηριακή κούρσα που πραγματοποίησε η μετοχή της Tesla το τελευταίο διάστημα είχε ως ...
Deasy
Οι συνδρομητές του Netflix ξεπέρασαν τα 167 εκατομμύρια
Τι κι αν από τον προηγούμενο Νοέμβριο μπήκαν στο παιχνίδι του streaming περιεχομένου η Apple ...
Deasy
Συνεργασία Wind και ΑΔΜΗΕ
Την ανανέωση της συνεργασίας Wind και ΑΔΜΗΕ μέσω της θυγατρικής του εταιρείας Grid Telecom, ανακοίνωσαν ...
Deasy
Η TeamViewer επενδύει στα Ιωάννινα με R&D κέντρο
Ιωάννινα. Πρωτεύουσα της Ηπείρου με περίπου 110.000 κατοίκους, απέχει από την Αθήνα περισσότερα από 410 ...
Deasy
Εξαγορά από τον Σκλαβενίτη τον βάζει στο e-commerce
Περίπου 18 μήνες κράτησε ο γάμος του Caremarket.gr με το Yoda.gr που είχε δημιουργήσει βάσιμες ...
Deasy
Διχογνωμία για την αναγνώριση προσώπου
Τον περασμένο Μάιο οι Spice Girls έδιναν μία συναυλία κάπου στη Βρετανία, αδιάφορο το πού. ...
Deasy
Τη ρύθμιση της τεχνητής νοημοσύνης ζητάει ο επικεφαλής της Google
Ως ένα πολύ σοβαρό ζήτημα που δεν μπορεί να μείνει χωρίς κανονισμούς λειτουργίας χαρακτήρισε την ...
Deasy
Louis Vuitton: παρουσίασε τα ασύρματα ακουστικά Horizon Earphones, αξίας 1100 δολαρίων
Τη δεύτερη σειρά των ασύρματων in ear ακουστικών Horizon Earphones παρουσίασε ο γαλλικός οίκος μόδας ...
Deasy
Με χάρτες της Tom Tom τα smartphones της Huawei
Για τη μετα-Google εποχή προετοιμάζεται η Huawei όσο δεν επιλύεται το θέμα με τους περιορισμούς ...
Deasy
Netflix: θα επενδύσει 17 δισ. δολάρια για περιεχόμενο το 2020
Τι κι αν οι συσσωρευμένες υποχρεώσεις του Netflix έχουν ξεπεράσει τα 24 δισ. δολάρια, σύμφωνα ...
Deasy
Απογευματινό γιουρούσι σε κρατικά sites
Δεν ήταν ξεκούραστο το απόγευμα της Παρασκευής για τους διαχειριστές πολλών κρατικών sites που βρέθηκαν ...
Deasy
Αναγνώριση προσώπου; Όχι ευχαριστώ
Κάπως θυμηθήκαμε το παλιό σύνθημα εναντίον της πυρηνικής ενέργειας, με αφορμή το ρεπορτάζ του πολύ ...
Deasy
Η μητρική της Google έσπασε το φράγμα του 1 τρισ.
Στο μικρό κλαμπ των γιγάντων της τεχνολογίας και ως προς τη χρηματιστηριακή τους αξία μπήκε ...
Deasy
SmartCV: η νέα πλατφόρμα διαχείρισης βιογραφικών ξεκίνησε τη λειτουργία της
Ξεκίνησε στις αρχές του χρόνου η εμπορική διάθεση της έξυπνης πλατφόρμας διαχείρισης βιογραφικών SmartCV, η ...
Deasy
Spotify: δημιουργεί playlists για κατοικίδια
Μία πρόσφατη έρευνα που έδειχνε ότι τα ¾ των ιδιοκτητών κατοικίδιων στην Αγγλία βάζουν τους ...
Deasy
15.000 κάρτες στον… κουβά
Και έτσι ξαφνικά, ακυρώθηκαν 15.000 πιστωτικές και χρεωστικές κάρτες μετά τη διαπίστωση πως τα στοιχεία ...
Deasy
Αυτοί είναι οι βασιλιάδες της καινοτομίας
Οι διασημότεροι δεν είναι πάντοτε και οι καλύτεροι και αυτό ισχύει σε όλα τα πεδία ...
Deasy
ESET: μείνετε ασφαλείς με τις έξυπνες συσκευές σας
Οι έξυπνες συσκευές χρησιμοποιούνται σε μεγάλο βαθμό στην καθημερινότητα όλων μας, τόσο σε προσωπικό όσο ...
Deasy
Οι χρήστες βάζουν την «ψηφιακή ζωή» τους σε προτεραιότητα
Η βελτίωση της ψηφιακής ζωής μέσα στο 2020 είναι μεγαλύτερη προτεραιότητα από την αλλαγή της ...
Deasy
“Άκυρο” στην Ε3 2020 από τη Sony και το PlayStation
Με μια μεγάλη έκπληξη ξεκίνησε το 2020 για το χώρο του gaming, καθώς η Sony ...
Deasy
H Πέγκυ Αντωνάκου, περιφερειακή γενική διευθύντρια της Google για τη νοτιοανατολική Ευρώπη
Μετά από επτά περίπου χρόνια ως επικεφαλής της Microsoft Ελλάδας, Κύπρου και Μάλτας, θέση από ...
Deasy
Νέας τεχνολογίας ΑΙ πλυντήριο ρούχων από την LG
Ένα νέο πλυντήριο εμπρόσθιας φόρτωσης, που εκμεταλλεύεται τεχνολογίες τεχνητής νοημοσύνης για να προσφέρει καλύτερες επιδόσεις ...
Deasy
Το νέο smartwatch Suunto 7 έρχεται στην Ελλάδα στα μέσα Φεβρουαρίου
Παρουσιάστηκε μόλις πριν από λίγες ημέρες στο πλαίσιο της CES 2020 και όπως έγινε γνωστό ...
Deasy
Lenovo: παρουσίασε το ThinkPad X1 Fold, το πρώτο foldable PC
Με τα form factors των συσκευών δείχνει να πειραματίζεται έντονα η Lenovo, η οποία ακολουθώντας ...
Deasy
Μονομαχία για τον ψηφιακό φόρο
Εμείς τους είχαμε αφήσει στα τέλη του περασμένου καλοκαιριού να έχουν συνάψει ανακωχή αλλά άλλες ...
Deasy
TCL: φέρνει 5G smartphone κάτω από τα 500 δολάρια
Λίγο πριν τα Χριστούγεννα, στο πλαίσιο της παρουσίασης του TCL Plex στην ελληνική αγορά, ο ...
Deasy
Νέα σειρά Odyssey Gaming Monitor από τη Samsung
Τη νέα σειρά οθονών, που έχει υλοποιηθεί εξ ολοκλήρου για gamers, με κυρτό σχεδιασμό και ...
Deasy
Lenovo Yoga 5G: το πρώτο laptop με 5G είναι γεγονός
Με τα πρώτα δίκτυα 5G να είναι ήδη εμπορικά διαθέσιμα (έστω και σε περιορισμένη έκταση) ...
Deasy
Τώρα έχεις περισσότερα δικαιώματα στις online αγορές
Της αρέσουν της Κομισιόν τα μεγάλα λόγια όπως φαίνεται και η Νέα Συμφωνία για τους ...
Deasy
Σιγαστήρας στις απανωτές ειδοποιήσεις των sites
Αμα μετράς διψήφιο αριθμό ετών στον online κόσμο θα θυμάσαι πως τον παλιό καλό καιρό ...
Deasy
Hyundai S-A1, το ελικοφόρο ιπτάμενο ταξί σε συνεργασία με την Uber
Στην περυσινή CES στο χώρο των εταιρειών και λύσεων μετακίνησης δέσποζε το πρωτότυπο ελικοφόρο ταξί ...
Deasy
“Πόρτα” στα deepfake video από το Facebook
Με τις προεδρικές εκλογές στις ΗΠΑ να βρίσκονται λιγότερο από 11 μήνες μακριά μας (και ...
Deasy
Samsung: αποκαλυπτήρια της QLED 8K TV του 2020 στη CES
Την επόμενη γενιά της σειράς QLED 8K αποκάλυψε στη CES 2020 η Samsung, μία σειρά ...
Deasy
Μοναδική εμπειρία θέασης υπόσχονται οι νέες OLED τηλεοράσεις της LG
Ούτε 1, ούτε 2 αλλά 14 νέα OLED μοντέλα παρουσίασε στο πλαίσιο της CES 2020 ...
Deasy
Sony: ανακοίνωσε νέες 8Κ, OLED και 4Κ Full Array LED τηλεοράσεις
Εικόνα αντίστοιχη με εκείνη που είχε πρόθεση ο δημιουργός να αποδώσει υπόσχεται η Sony με ...
Deasy
Mercedes-Benz Vision AVTR: το εντυπωσιακό concept για το αυτοκίνητο του μέλλοντος
Ένα απίθανο φουτουριστικό αυτοκίνητο, που εμπνέεται από την ταινία Avatar, παρουσίασε στο πλαίσιο της CES ...
Deasy
Παρουσιάστηκε επίσημα η Nikon D780
Με ένα νέο υψηλής απόδοσης μοντέλο, τη νέα DSLR D780 εμπλουτίζει την οικογένεια των full ...
Deasy
Νέες lifestyle οικιακές συσκευές παρουσίασε η Samsung στη CES 2020
Η Samsung εισέρχεται όλο και περισσότερο στις οικιακές συσκευές, πέρα από τις ηλεκτρονικές που όλοι ...
Deasy
Ηλεκτρικό αυτοκίνητο παρουσίασε η Sony στη CES 2020
Το κερασάκι της συνέντευξης Τύπου της Sony στην έκθεση CES 2020 ήρθε λίγο πριν την ...
Deasy
Αποκαλυπτήρια της σειράς Samsung Galaxy S20 στις 11 Φεβρουαρίου
Με ένα μικρό video που διέρρευσε (χθες) και μία επιστολή-πρόσκληση (σήμερα) προς τα μεγάλα ειδησοεγραφικά ...
Deasy
LG: παρουσιάζει οκτώ τηλεοράσεις ανάλυσης 8Κ στη CES 2020
Με οκτώ νέες τηλεοράσεις, που υπόσχονται πραγματική εμπειρία 8Κ ανάλυσης, μπαίνει στο 2020 η LG. ...
Deasy
Με δύο νέα smartphones κάνει ποδαρικό στο 2020 η Samsung
Τα νέα Galaxy S10 Lite και Galaxy Note 10 Lite παρουσίασε σήμερα η Samsung, φέρνοντας ...
Deasy
Apple: 5ετής συμφωνία με τον πρώην διευθύνoντα σύμβουλο της HBO
Τα σχέδια της Apple για τη δημιουργία ενός πλούσιου τηλεοπτικού προϊόντος είναι ιδιαίτερα φιλόδοξα, με ...
Deasy
Samsung: συνεργασία με τον 8K Association για το πρόγραμμα πιστοποίησης τηλεοράσεων 8K
Τη σύναψη συνεργασίας με τον οργανισμό 8Κ Association για τη δημιουργία του πρώτου προγράμματος πιστοποίησης ...
Deasy
Tesla: υπό έρευνα το νέο θανατηφόρο τροχαίο στην Καλιφόρνια
Ένα ακόμα θανατηφόρο τροχαίο, το τέταρτο συνολικά από το 2016, στο οποίο ενεπλάκη αυτοκίνητο της ...
Deasy
Xiaomi: 7 δισ. δολάρια επένδυση σε 5G, IoT και ΑΙ μέχρι το 2025
Κεφάλαια μεγαλύτερα των 7 δισ. δολαρίων θα επενδύσει στους τομείς του 5G, του Internet of ...
Deasy
Huawei: θετικά τα αποτελέσματα του 2019, δύσκολο το 2020
Σε επίπεδα ρεκόρ αλλά χαμηλότερα από προηγούμενες προβλέψεις τις ίδιας της εταιρείας κινήθηκαν τα έσοδα ...
Deasy
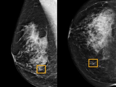
Σύστημα ΑΙ της Google εντοπίζει με ακρίβεια τον καρκίνο του μαστού
Ακρίβεια ακόμα και μεγαλύτερη από ειδικούς ακτινολόγους στον εντοπισμό του καρκίνου του μαστού έχει ένα ...










































































































